EXPERIENCE A NEW KIND OF SMILE AT DR. OMAR NIJEM - AESTHETIC DENTISTRY

Traditional craftsmanship meets cutting-edge technology to deliver restorative dentistry with natural results and enduring benefits.

Schedule a Consultation

Take the first step toward the smile you’ve always dreamed of. During your personalized consultation, Dr. Omar Nijem evaluates your unique features, discusses your goals, and creates a customized plan to transform your smile with precision and artistry.

Transform Your Smile

Experience a smile makeover that goes beyond cosmetic improvements. From veneers and crowns to full-mouth reconstructions and Invisalign, each treatment is tailored to enhance facial harmony, function, and natural beauty, giving you a confident, radiant smile.

Experience Exceptional Care

Discover the care, attention, and artistry that set Dr. Nijem apart. From the moment you enter the office to the final reveal of your new smile, you’ll experience a calm, personalized, and luxurious approach to dentistry — one that prioritizes comfort, results, and lifelong confidence.

Why Choose Dr. Nijem

Dr. Omar Nijem, DDS is a renowned cosmetic dentist based in Palm Beach, Florida, celebrated for his exceptional skill, professionalism, and personable approach. He combines modern, minimally invasive techniques with the highest standards of care to deliver stunning, natural-looking results.

Dr. Nijem is known for creating handcrafted porcelain restorations in collaboration with some of the most elite dental ceramists in the world, ensuring every smile reflects precision, beauty, and harmony.

Patients consistently praise Dr. Nijem and his team for their top-tier care, minimal wait times, and welcoming environment. His friendly demeanor and gentle touch, paired with the calm, elegant atmosphere of his practice, have earned him a devoted patient community and a reputation for excellence in aesthetic dentistry.

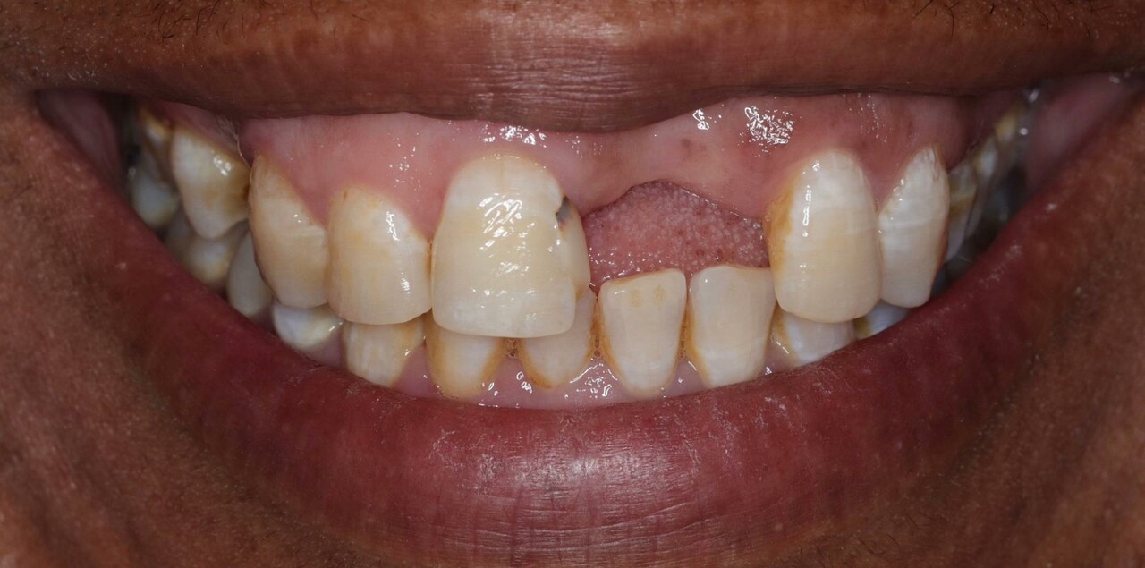
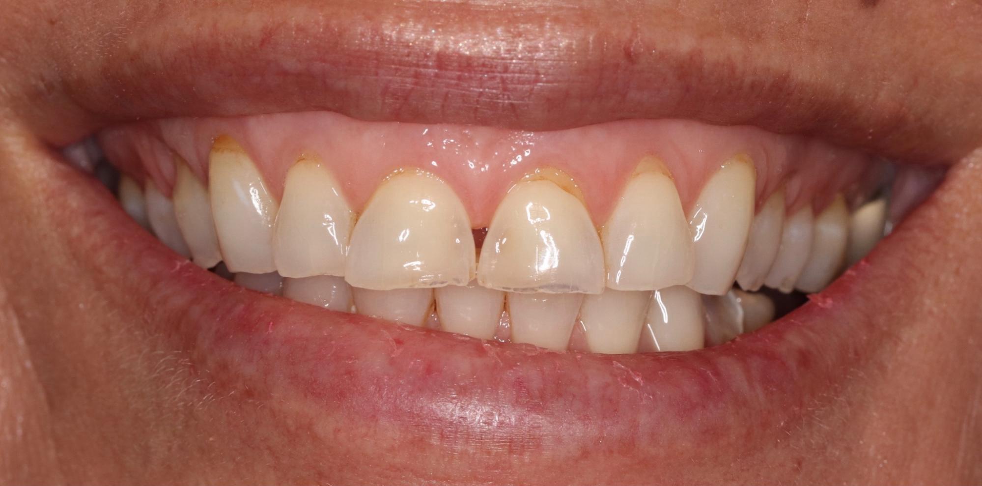
See the Transformation: Your New Smile Awaits

We believe that exceptional dentistry doesn’t just change teeth—it changes lives.

Take a look at what’s possible. These Before & After results showcase the artistry, precision, and passion Dr. Omar Nijem brings to every smile design.

From comprehensive restorative procedures to stunning cosmetic enhancements, Dr. Nijem utilizes the highest standards of care and cutting-edge digital technology to deliver the healthy, beautiful smile you’ve always dreamed of.

Ready to see yourself in a new light?

Your journey to a life-changing smile starts here.

Our 5 Star Ratings from patients

We greatly value the kind words shared by our patients. Their positive experiences reflect our commitment to excellent care. We appreciate their trust and are dedicated to continuing to provide high-quality services to everyone we serve.

Peter M.

Dr. Nijem is an outstanding dentist. He is one of the best dentists that I have ever seen. I recently had an extraction. He removed the tooth seamlessly. I had no pain which exceeded my expectations. He has excellent interpersonal skills as he explained the process and follow up very carefully. He called me on the weekend to ask how I was feeling which is unusual and goes a long way. I highly recommend Dr. Nijem.

Kevin M.

Best dentist I’ve ever been to. I had a tooth that needed work after it cracked from an old filling. The tooth was not easily crowned and most dentist would have pulled it and done an implant. Dr Nijem wanted to save the tooth and took the time to repair the decay and crown the tooth. It was an extensive procedure but worth it. Again most would have taken the easy way out . He’s a brilliant, detailed “can do” attitude person worth having as your dentist. 1000 stars would be appropriate for his talents and patience

Emily S.

My name is Emily Bedon and I was incredibly impressed by both Dr. Omar Nijem and his assistant Seana. I have only ever had exceptional experiences with this office, but when I had to get a wisdom tooth extracted I was a little nervous. As soon as I walked in I was met with kindness and walked through every step of the procedure. I experienced nothing more than a small pinch with the numbing agent administered and absolutely NO pain during the procedure. I attribute this to the perfected technique used by Dr. Omar Nijem and unwavering support of Seana. I left feeling confident in how to proceed with recovery and once again wildly impressed by the care and skill I was treated with. I am so thankful to have all of my families dental work done here!

Billie H.

Absolutely amazing doctor and practice! Dr. Nijem provided me a smile that exceeded my expectation! His communication, attention to detail, bedside manner, and genuine care for his patients is second to none. Dr. Nijem is the doctor you should trust with your dental care. HIGHLY RECOMMEND!

Nabil H.

I recently visited Dr. Omar to have a chipped tooth repaired, and the entire experience was exceptional. Dr. Omar and his team are not only highly skilled but also incredibly compassionate and attentive to their patients’ needs. Dr. Omar’s expertise in dental care truly shines. He carefully explained the procedure to fix my chipped tooth, answered all my questions, and made sure I was comfortable every step of the way. The repair was done with such precision and care that my tooth now looks and feels as good as new. I am extremely grateful for Dr. Omar’s excellent work and highly recommend him to anyone in need of dental care. He and his team provide top-notch service and genuinely care about their patients’ well-being.

Michelle L.

Dr. Nijem is charismatic, extremely well versed in all aspects of dentistry and empathetic. You find yourself at ease in the dentist chair. He and his hygienist created a very organic, comfortable experience. They explained my treatment and managed my expectations very clearly.

Molly C.

I saw Dr. Nijem for my wisdom tooth removal today and he was excellent! He was very friendly, gentle, and knowledgeable in what he was doing. Appt was quick and easy. Would recommend him to anyone needing dental care :)

John R.

Dr. Nijem DDS is an outstanding dentist. My experiences with Dr. Nijim have been excellent as he is very professional, highly skilled, and caring in his approach. Dr. Nijim answers questions, explains options and various procedures, performs services to the highest standards, and shows genuine care for his patients. I enthusiastically recommend Dr. Nijem.

Ali A.

Like anybody else, iam not stranger to the dental issues. Unlike other times my broken tooth with extra long root left me with fewer choices. Iam glad I picked Dr. Nijem for the treatment. During initial examination, Dr. explained every details with confidence, but I was still expecting lot of discomfort during and after the procedure. I was amazed when he told me that it's out within only 5-6 minutes. I had 10 days for recovery and stitches removal. Dr. Najam personally called twice to make sure that iam feeling ok. I thank Dr. Najam for his expertise and recommend anybody who is experiencing difficult dental issues.

Hasan N.

Dr. Nijem is very professional and he is determined to provide comprehensive treatment options to choose from. His staff is so friendly and welcoming. The office has a calm and friendly atmosphere. The work speaks for itself. I’m truly satisfied with the results and I would highly recommend their services for anyone seeking the highest level of cosmetic and restorative dentistry in Palm Beach County! 10 stars!!

Dentistry Reimagined

At Dr. Omar Nijem - Aesthetic Dentistry, the world’s finest dental artists come together to set a new standard in innovation, skill, and creativity. Every smile is crafted with precision, ensuring exceptional results and an unmatched patient experience. Cosmetic dentistry, elevated.

Schedule a Consultation

Visit Us

Our goal is for you to leave our office with a memorable and enjoyable experience, which is why our welcoming and compassionate staff will do everything they can to make you feel right at home.

Call Us Text Us

Accessibility Tools

Increase TextIncrease Text
Decrease TextDecrease Text
GrayscaleGrayscale
Invert Colors
Readable FontReadable Font
Reset