Ready for an authentic, dazzling smile? Porcelain veneers are a premier cosmetic solution for achieving a perfectly aligned, bright, and natural-looking smile. In Palm Beach Gardens, FL, Dr. Omar Nijem specializes in artfully crafting custom veneers that enhance your natural beauty, facial harmony, and overall confidence.
Request an Appointment
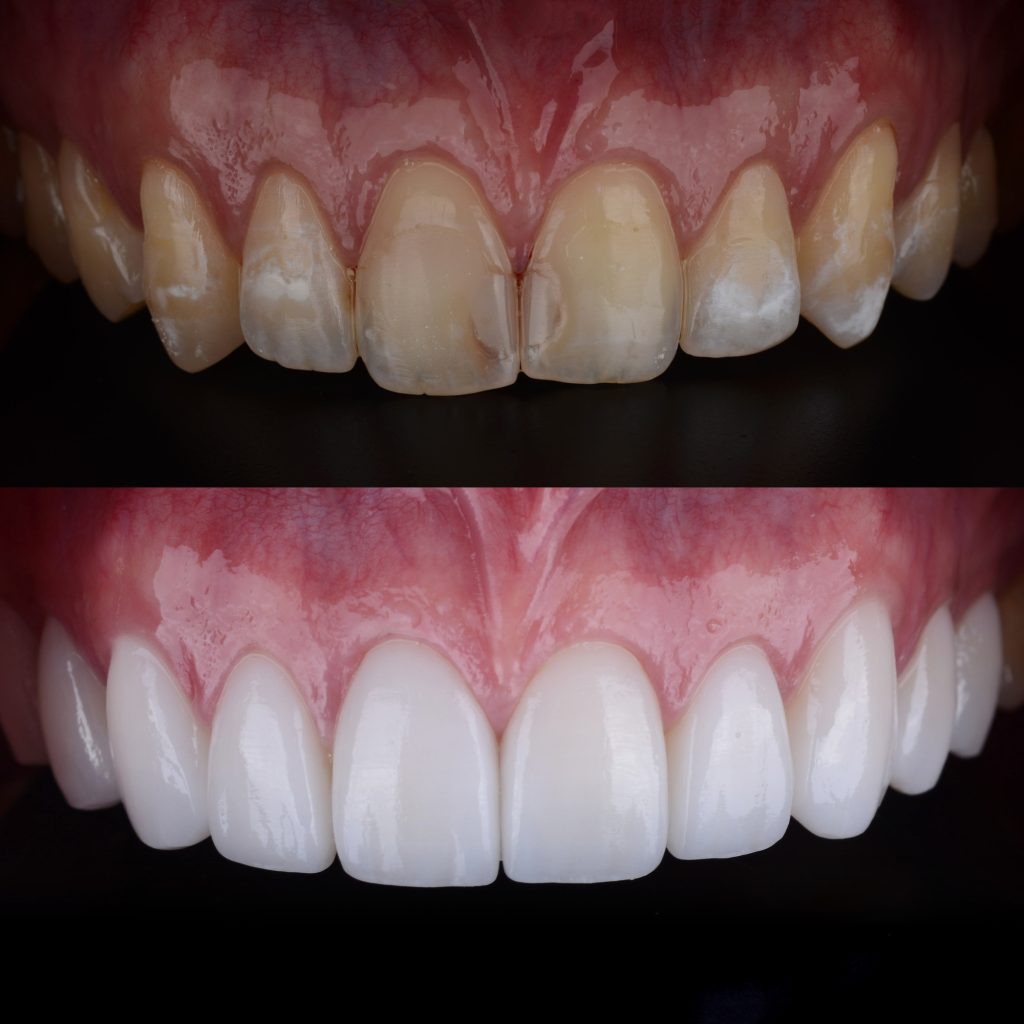
What Are Porcelain Veneers?
Porcelain veneers are ultra-thin, custom-made shells of high-quality ceramic material, meticulously designed to cover the front surface of your teeth. More than just a cosmetic covering, each veneer is a precise, handcrafted restoration built to mirror the natural translucency, character, and texture of tooth enamel.
Dr. Nijem partners with the world’s leading dental ceramists to ensure every restoration achieves the perfect balance of exceptional strength and stunning, natural beauty. The result is a smile that is harmonious, long-lasting, and uniquely yours.
Benefits of Choosing Porcelain Veneers
Porcelain veneers offer a transformative, durable solution to correct a wide range of aesthetic and functional concerns:
- Correct Aesthetics: Effectively addresses discoloration, chips, gaps, and minor misalignment for a perfectly balanced look.
- Improve Function: Provides precise, minimally invasive restorations that support overall oral health.
- Rejuvenate Appearance: Restores youthful balance and brightness to your smile.
- Enjoy Lasting Confidence: Results are highly durable, stain-resistant, and can endure for 15 to 20 years or more with proper care, making them an excellent investment in your quality of life.
The Art of Your Smile Makeover with Dr. Nijem
A smile makeover with Dr. Omar Nijem is a highly personalized journey focused on creating facial harmony, balance, and effortless confidence.
Dr. Nijem doesn’t just treat teeth—he designs a smile to complement your unique features, personality, and natural tooth anatomy. He carefully evaluates your facial structure, bite, and individual aesthetic goals to create a result that is both functional and visually stunning. Your comprehensive treatment plan may combine porcelain veneers with other cosmetic treatments like teeth whitening or subtle alignment therapy for a cohesive and natural-looking outcome.
Your Smile Makeover Process (The Patient Journey)
Dr. Nijem’s proven, step-by-step process ensures precision, comfort, and beautiful, long-lasting results. The full transformation typically takes 3–4 weeks to complete.
| Step | Appointment Focus | Duration |
| The Consultation | Discuss goals, comprehensively evaluate your smile, and receive a personalized treatment plan. | Variable |
| Prep Appointment | Teeth are gently prepared, precise impressions are taken, and temporary veneers are placed. | 4 Hours |
| Initial Post-Op | Check comfort, fit, and bite; adjust temporary veneers as needed. | 1.5 Hours |
| Insert Appointment | Your custom porcelain veneers are bonded, revealing your final new smile. | 4 Hours |
| Final Post-Op | Final quality check to ensure perfect fit, function, and aesthetics for durability. | 1.5 Hours |
| First Cleaning | Professional cleaning and assessment to maintain the health and longevity of your new smile. | 1 Hour |
| Aftercare | Daily home care (brushing and flossing) and routine dental visits keep your veneers durable and beautiful. | Ongoing |
Porcelain Veneers FAQ
Who is a good candidate for veneers?
Veneers are ideal for patients in Palm Beach Gardens and beyond who want to correct issues like persistent discoloration, minor chips, gaps between teeth, or slight misalignment. Dr. Nijem assesses your oral health during a consultation to confirm that porcelain veneers are the best option to achieve your desired youthful, harmonious smile.
How long do Dr. Nijem’s veneers last?
With routine daily care and professional dental visits, high-quality porcelain veneers are exceptionally durable and can last for 15 to 20 years or more. They are stain-resistant and designed to maintain their natural appearance over decades.
Are veneers reversible?
No, porcelain veneers are considered a permanent restoration. A small amount of enamel removal is typically required during the Prep Appointment to ensure a precise, non-bulky fit and optimal aesthetics.
Do the veneers look natural?
Absolutely. Dr. Nijem’s focus is on veneers that look like you. By partnering with top dental ceramists, he ensures each veneer perfectly mirrors the translucency, texture, and custom shade of natural teeth, making them virtually indistinguishable from your surrounding dentition.
Is the veneer procedure painful?
The veneer placement process is generally comfortable and minimally invasive. Local anesthesia is used as necessary to ensure you feel at ease. Most patients report only minor sensitivity, and Dr. Nijem’s gentle approach prioritizes a relaxed and pleasant experience throughout the process.
How do I care for my veneers?
Care for your veneers the same way you care for natural teeth: regular brushing, flossing, and routine dental visits in Palm Beach Gardens. Avoid biting extremely hard objects, and if you grind or clench your teeth (bruxism), Dr. Nijem will recommend a custom nightguard to protect your investment.
Can veneers fix misaligned teeth?
Yes, for minor issues. Veneers are an excellent solution for closing small gaps and correcting minor alignment issues or uneven teeth—often called “instant orthodontics.” For more significant orthodontic concerns, Dr. Nijem will advise on combining veneers with clear aligner therapy for the best possible result.
Begin Your Smile Transformation in Palm Beach Gardens
Your ideal smile is within reach. Take the first step toward a beautiful, confident smile that truly reflects the best version of you.
Schedule a consultation with Dr. Omar Nijem, the leading cosmetic dentist for porcelain veneers in Palm Beach Gardens, FL. Experience unparalleled attention to detail and results that are artful, durable, and uniquely yours.
Request an Appointment