Do your teeth appear too short, or does your smile feel “gummy”? A Gum Lift, also known as Gingival Contouring or crown lengthening, is a subtle yet remarkably transformative cosmetic procedure designed to enhance the natural frame of your teeth.

In Palm Beach Gardens, FL, Dr. Omar Nijem uses minimally invasive techniques to expertly reshape uneven or excessive gum tissue. The goal is to reveal more of your natural tooth structure, creating a brighter, more symmetrical, and beautifully balanced smile that complements your entire facial profile.

Request an Appointment

What is a Gum Lift and Why is it Performed?

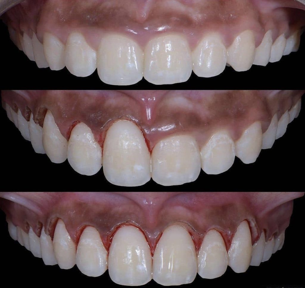
A Gum Lift is a precision cosmetic procedure that removes excess gum tissue and/or reshapes the gum line. It is performed to correct two primary aesthetic issues:

  1. Gummy Smile: When an excessive amount of gum tissue covers the surface of the teeth, making the teeth appear short or square.
  2. Uneven Gum Line: When the gum tissue is higher on some teeth and lower on others, creating an asymmetrical and unbalanced appearance.

By sculpting the gum line, Dr. Nijem creates a more harmonious ratio between the height of your teeth and your gum line, resulting in a smile that looks both healthier and more youthful.

The Benefits of Gingival Contouring

Refining your gum line is a key part of cosmetic dentistry and offers several distinct advantages:

  • Creates Smile Symmetry: Establishes a uniform and balanced gum line, ensuring all teeth are framed beautifully.
  • Reveals Hidden Tooth Structure: Makes short or stubby teeth appear longer and more proportionate.
  • Enhances Other Treatments: Provides a perfect foundation before placing Porcelain Veneers or Porcelain Crowns, ensuring a seamless aesthetic transition from the gum line.
  • Minimally Invasive: Nijem often uses advanced soft-tissue laser technology, which provides a gentle procedure with minimal discomfort, faster healing, and no stitches required.
  • Instant, Permanent Results: The results are immediate and permanent, giving you a consistently beautiful smile.
Request an Appointment

The Gum Lift Procedure with Dr. Nijem

The gum lift procedure is typically completed in a single, comfortable visit in our Palm Beach Gardens office.

  1. Aesthetic Mapping: Nijem first collaborates with you to mark the ideal new contour of your gum line, ensuring it follows the natural curve of your lips and face.
  2. Gentle Anesthesia: A local anesthetic is applied to numb the gum tissue, guaranteeing a comfortable and pain-free experience.
  3. Contouring: Nijem utilizes precise, advanced tools—often a soft-tissue laser—to gently remove and reshape the excess gum tissue, uncovering the natural beauty of your teeth underneath.
  4. Immediate Reveal: You can see the refined, more balanced shape of your smile immediately. The laser also seals the tissue, which minimizes bleeding and promotes rapid healing.

Recovery is typically quick, with most patients returning to their normal routine the same day, experiencing only minor soreness managed easily with over-the-counter pain relievers.

Refine Your Smile’s Frame in Palm Beach Gardens

A gum lift is one of the most effective ways to refine the proportions of your smile, achieving that naturally radiant and harmonious look that complements your facial features.

If you are concerned about a “gummy smile” or an uneven gum line, trust the meticulous skill of Dr. Omar Nijem, a cosmetic dentist specializing in Gingival Contouring in Palm Beach Gardens, FL.

Would you like to schedule an aesthetic consultation to determine if a Gum Lift is the perfect finishing touch for your smile?

Request an Appointment